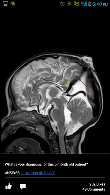
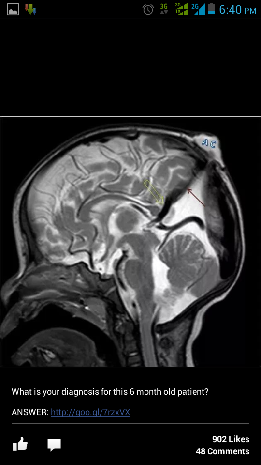
X rays collection

No comments:

Post a Comment

ကၽြန္ေတာ္သိသမွ်ေလးေတြ၊ေတြ ့သမွ်ေလးေတြ၊ေတြးမိသမွ်ေလးေတြကို မွတ္စုျပဳလုပ္ထားျခင္းသာျဖစ္ပါတယ္.......အကယ္၍ အမွားပါခဲ့လွ်င္ ကၽြန္ေတာ့္မွာသာ တာ၀န္ရိွပါတယ္.မိတ္ေဆြတို ့အလည္တစ္ေခါက္ေလာက္လာခဲ့ပါဦးေနာ္...

စံပြုအချက်အလက်များ android application

စံပြုအချက်အလက်များစာအုပ်ပါ android application ပြုလုပ်ပေးထားပါသည် အောက်ကလင့်များမှဒေါင်းနိုင်ပါတယ် https://play.google.com/store/apps/deta...